gum depigmentation Treatment- Best docter in vasant kunj
gum depigmentation
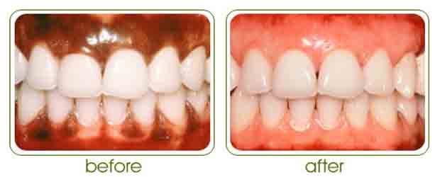
What causes gum pigmentation?
Laser gum depigmentation
Melanocytes are cells that live in the basal layer of the gingival epithelium. These cells produce melanin, which are shades that cause light or dim dark-colored spots in gums and oral mucosa. The most widely recognized reason is hereditary components or tobacco smoking, Smoker's melanosis.
Top dentist in Vasant Kunj
How would you dispose of gingival pigmentation?
Depigmentation methods, for example, surgical blade medical procedure, gingivectomy with free gingival autografting, electrosurgery, cryosurgery, compound specialists, for example, 90% phenol and 95% liquor, scraped area with jewel pod, Nd: YAG laser, semiconductor diode laser, and CO2 laser have been utilized for evacuation of melanin hyper .. Best dentist in vasant kunj
Is gum dying difficult?
After the method, you may encounter some gum affectability or an insignificant measure of torment, yet you ought to have the option to talk and eat typically straightforwardly following your visit.

To what extent does gum blanching last?
One gum depigmentation treatment can most recent 20 years or up to a lifetime. Patients with extremely delicate gums may encounter some distress for a brief timeframe. Patients can hope to have the option to talk and eat ordinarily following the treatment is finished. What Is the Expense of a Gum Fading Treatment?
Best doctor in Vasant Kunj
How might I improve my gums normally?
First-line treatment alternatives
1. Brush your teeth, in any event, two times per day. ...
2. Opt for an oscillating brush to amplify your cleaning potential.
3. Make sure your toothbrush has delicate or extra-delicate fibers.
4. Replace your toothbrush at regular intervals.
5. Floss every day.

6. Use a characteristic mouthwash.
7. Visit your dental specialist in any event once every year.
How might I improve my gum wellbeing?
7 different ways to keep the gums sound
1. Brush the teeth appropriately. Brushing the teeth two times every day with fluoride toothpaste can help keep gums solid. ...
2. Choose the correct toothpaste. ...
3. Floss day by day. ...
4. Rinse your mouth out with care. ...
5. Use mouthwash. ...
6. Get customary dental tests. ...
7. Stop smoking.
Top doctor in Vasant Kunj
8. Why is my gum white around my tooth?
9. Poor dental cleanliness is the most widely recognized reason for gum disease. Individuals with gum disease may encounter bothered, red, and swollen gums around the base of their teeth. They may likewise see free teeth or draining when brushing and flossing. After some time, the condition can make the gums turn white and subside
Q: How might I make my gums more beneficial?
1. Use a rotating brush.
2. Brush your teeth effectively, at any rate, two times per day.
3. Use a toothbrush with a tongue scrubber.
4. Floss day by day.
5. Massage your gums.
6. Use a subsiding gum mouthwash and a retreating gum toothpaste, with fluoride. The best treatment in Vasant kunj
What nutrient is useful for gums?
The Best Nutrients and Minerals for Sound Teeth and Gums
• Vitamin C. With regards to periodontal wellbeing, you can't turn out badly with nutrient C. Nutrient C helps bolster the body's whole resistant framework, which incorporates ensuring your gums and teeth.
• Iron. Iron is an extraordinary mineral for your general oral wellbeing. ...
• Vitamin D. ...
• Calcium
Contact us-
4452, Sector: B 5 & 6, Vasant Kunj, Delhi 110070
8383807453
https://www.dentalarche.com/
What causes gum pigmentation?
Laser gum depigmentation
Melanocytes are cells that live in the basal layer of the gingival epithelium. These cells produce melanin, which are shades that cause light or dim dark-colored spots in gums and oral mucosa. The most widely recognized reason is hereditary components or tobacco smoking, Smoker's melanosis.
Top dentist in Vasant Kunj
How would you dispose of gingival pigmentation?
Depigmentation methods, for example, surgical blade medical procedure, gingivectomy with free gingival autografting, electrosurgery, cryosurgery, compound specialists, for example, 90% phenol and 95% liquor, scraped area with jewel pod, Nd: YAG laser, semiconductor diode laser, and CO2 laser have been utilized for evacuation of melanin hyper .. Best dentist in vasant kunj
Is gum dying difficult?
After the method, you may encounter some gum affectability or an insignificant measure of torment, yet you ought to have the option to talk and eat typically straightforwardly following your visit.

To what extent does gum blanching last?
One gum depigmentation treatment can most recent 20 years or up to a lifetime. Patients with extremely delicate gums may encounter some distress for a brief timeframe. Patients can hope to have the option to talk and eat ordinarily following the treatment is finished. What Is the Expense of a Gum Fading Treatment?
Best doctor in Vasant Kunj
How might I improve my gums normally?
First-line treatment alternatives
1. Brush your teeth, in any event, two times per day. ...
2. Opt for an oscillating brush to amplify your cleaning potential.
3. Make sure your toothbrush has delicate or extra-delicate fibers.
4. Replace your toothbrush at regular intervals.
5. Floss every day.
6. Use a characteristic mouthwash.
7. Visit your dental specialist in any event once every year.
How might I improve my gum wellbeing?
7 different ways to keep the gums sound
1. Brush the teeth appropriately. Brushing the teeth two times every day with fluoride toothpaste can help keep gums solid. ...
2. Choose the correct toothpaste. ...
3. Floss day by day. ...
4. Rinse your mouth out with care. ...
5. Use mouthwash. ...
6. Get customary dental tests. ...
7. Stop smoking.
Top doctor in Vasant Kunj
8. Why is my gum white around my tooth?
9. Poor dental cleanliness is the most widely recognized reason for gum disease. Individuals with gum disease may encounter bothered, red, and swollen gums around the base of their teeth. They may likewise see free teeth or draining when brushing and flossing. After some time, the condition can make the gums turn white and subside
Q: How might I make my gums more beneficial?
1. Use a rotating brush.
2. Brush your teeth effectively, at any rate, two times per day.
3. Use a toothbrush with a tongue scrubber.
4. Floss day by day.
5. Massage your gums.
6. Use a subsiding gum mouthwash and a retreating gum toothpaste, with fluoride. The best treatment in Vasant kunj
What nutrient is useful for gums?
The Best Nutrients and Minerals for Sound Teeth and Gums
• Vitamin C. With regards to periodontal wellbeing, you can't turn out badly with nutrient C. Nutrient C helps bolster the body's whole resistant framework, which incorporates ensuring your gums and teeth.
• Iron. Iron is an extraordinary mineral for your general oral wellbeing. ...
• Vitamin D. ...
• Calcium
Contact us-
4452, Sector: B 5 & 6, Vasant Kunj, Delhi 110070
8383807453
https://www.dentalarche.com/
Thanks for sharing this post and visiy my articlesGum Depigmentation Treatment in Islamabad
ReplyDelete